View Depression Brain Damage Reversible US

View Brain Trauma Foundation Guidelines Subdural Hematoma Pics

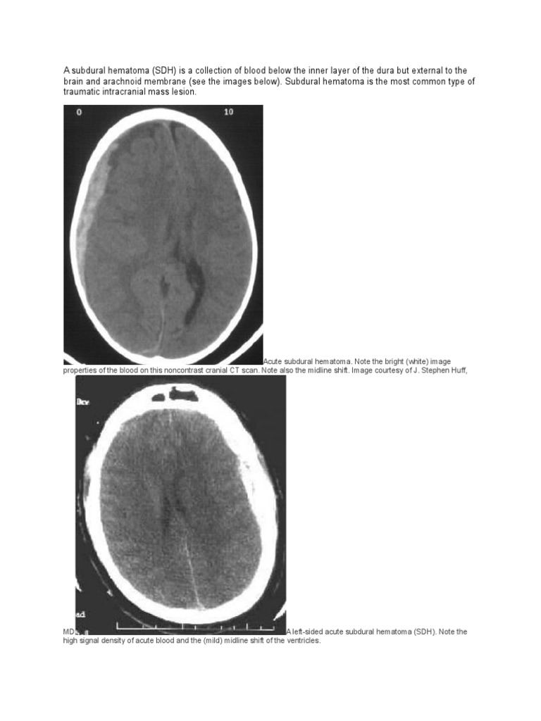
View Brain Trauma Foundation Guidelines Subdural Hematoma Pics. In coma, patients are in a state of deep unconsciousness that lasts for a prolonged or indefinite. Subdural hematoma is the most common type of traumatic intracranial mass lesion.

Subdural haemorrhage - chronic | Image | Radiopaedia.org
Subdural haemorrhage - chronic | Image | Radiopaedia.org from images.radiopaedia.org
The elderly need not always have had severe head trauma. To view the complete guidelines, including methods and detailed evidence review, click here. Technical principles for evacuation of an subdural hematoma.

In addition to mechanical injury, trauma induces also complex.

Aggressive reversal of coagulopathy should be accomplished in most patients with a. To view the complete guidelines, including methods and detailed evidence review, click here. Brain trauma foundation, american association of neurological surgeons, congress of neurological surgeons. Brain in the coronal plane.

Komentar